“La prótesis adecuada transforma mucho más que una sonrisa: mejora tu vida.”

Clínica Dental ProSmile

Calle Rafael Sanzio #415, Colonia La Estancia

+100

Pacientes.

4.9

Nuestra valoración promedio.

+5 años

De experiencia.

Sobre mí

Soy Gabriela González, especialista en prostodoncia comprometida con restaurar la función, estética y confianza de cada paciente.


Mi objetivo es ofrecer tratamientos personalizados que se adapten a tus necesidades, combinando técnicas tradicionales con tecnología moderna para lograr resultados naturales, cómodos y eficientes.


Cada caso representa una nueva oportunidad de ayudarte a volver a comer, hablar y sonreír sin limitaciones, con la seguridad y bienestar que mereces.


Cada paciente recibe atención personalizada y seguimiento cercano para garantizar resultados estables y satisfactorios.

Agenda una valoración ahora.

Servicios

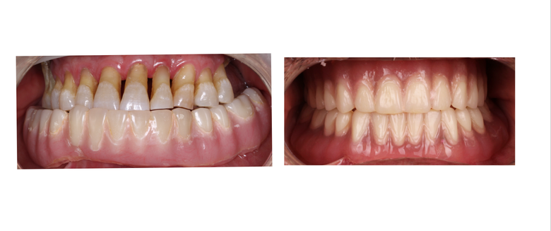
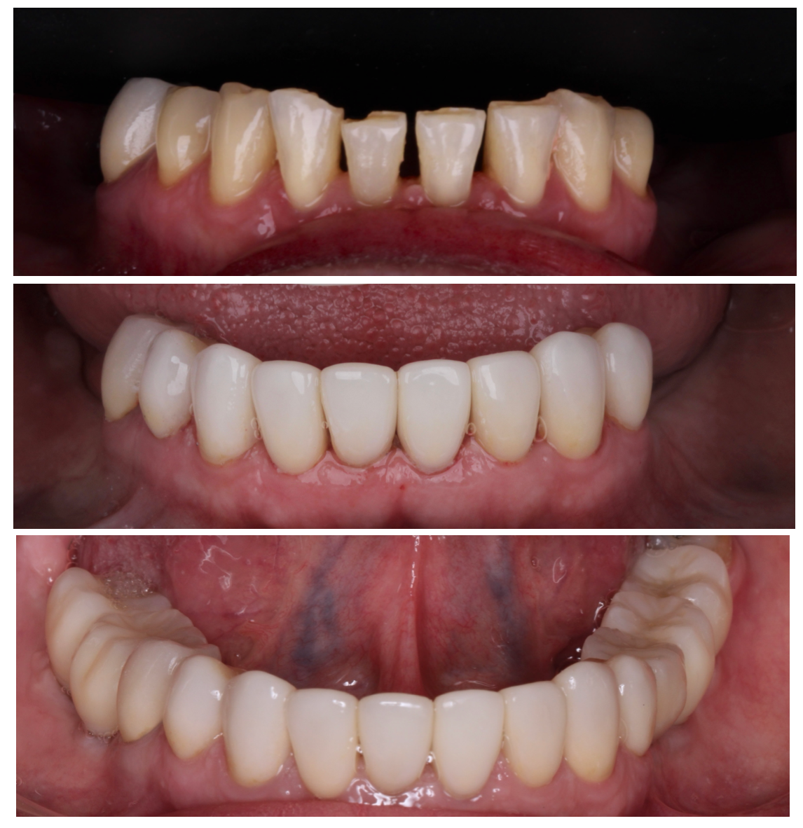
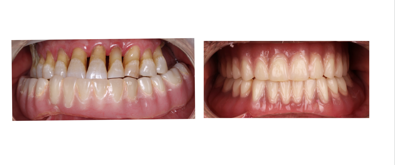
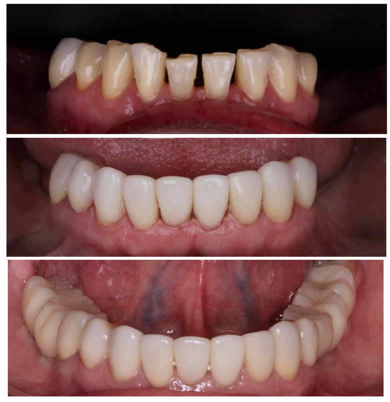
Prótesis fija

Coronas, puentes y rehabilitaciones completas.

Prótesis total y Parcial removible

Diseño funcional y natural, adaptado a cada paciente.

Prótesis sobre implantes

Unitarios, puentes y prótesis completas sobre implantes.

Diseño de sonrisa

Armonización estética con enfoque funcional.

Clientes felices

Estamos orgullosos de obtener reseñas entusiastas de clientes que aman la calidad y el cuidado que brindamos a cada servicio.